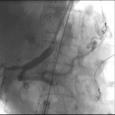
La U.O.C. Chirurgia Vascolare del Grande Ospedale Metropolitano di Reggio Calabria ha recentemente eseguito con successo un trattamento di elevata complessità su un paziente affetto da un voluminoso aneurisma toraco-addominale di 7 cm di diametro.
L’intervento endovascolare ha previsto il posizionamento di una serie di endoprotesi: una per l’aorta toracica, una ramificata per i vasi viscerali e una terza endoprotesi aorto-bisiliaca.
Grazie alla precisione del trattamento e alla collaborazione multidisciplinare tra i chirurghi della U.O.C., diretta dal dottore Pietro Volpe, e il personale della U.O.S.D. Terapia Intensiva Post-Operatoria guidata dal dottore Massimo Caracciolo, il decorso post-operatorio è stato ottimale, senza complicanze, e il paziente è stato dimesso in buone condizioni.

Patologia rara, trattamento altamente specialistico
L’aneurisma dell’aorta toraco-addominale è una condizione rara ma grave, che richiede interventi altamente specialistici per preservare l’aorta e i rami viscerali. Le tecniche endovascolari avanzate permettono di affrontare patologie complesse come questa, evitando i rischi e la lunga degenza legati alla chirurgia tradizionale, che comporta elevata mortalità e lunghi tempi di terapia intensiva.









